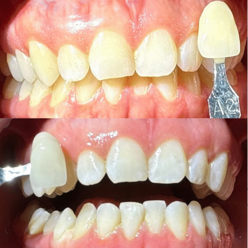
¿Qué es el blanqueamiento dental?
El blanqueamiento dental es un tratamiento estético diseñado para aclarar el color de los dientes y devolverle a tu sonrisa un aspecto más blanco, brillante y rejuvenecido. Elimina manchas causadas por café, té, vino, tabaco y el paso del tiempo, de forma segura y efectiva.
Este procedimiento es rápido, no invasivo y se realiza bajo supervisión profesional, garantizando resultados visibles desde la primera sesión sin dañar el esmalte dental.
✨ Beneficios del blanqueamiento dental:
Sonrisa más blanca y luminosa
Mejora inmediata en la apariencia dental
Tratamiento seguro y controlado
Aumenta la confianza y seguridad al sonreír
El blanqueamiento dental es ideal para quienes desean mejorar su sonrisa de manera rápida y natural.
📅 Agenda tu valoración y descubre cómo podemos ayudarte a lograr la sonrisa que siempre has querido.
Galeria Blanqueamiento



